Máy siêu âm 4D GE HealthCare Voluson P8 – Mỹ
Siêu âm là một nguồn lực thiết yếu trong việc cung cấp dịch vụ chất lượng cho việc chăm sóc sức khỏe phụ nữ. Voluson ™ P8 mang lại chất lượng hình ảnh tuyệt vời, dễ sử dụng và quy trình làm việc được sắp xếp hợp lý.
Ứng dụng của Voluson P8 bao gồm sản khoa, phụ khoa, y học hỗ trợ sinh sản, chuyển dạ & sinh nở.

Công nghệ 4D
Voluson là cái nôi đầu tiên của siêu âm 4D trên thế giới với công nghệ tạo hình 4D KRETZ.
Công nghệ 3D HDlive – Chỉ có trên dòng máy Voluson P8
Công nghệ xử lý hình ảnh 3D/4D bằng cách tạo một nguồn ánh sáng kỹ thuật số tạo hiệu ứng hình ảnh khối nổi.
Chức năng siêu âm tim mạch CW – chỉ có trên máy Volsuon P8
dòng máy Volsuon P8 có khả năng khảo sát tốt tim mạch cơ bản.
Công nghệ Sono Render Live
Công nghệ này cho phép đường ROI uyển chuyển ôm sát mặt em bé theo mọi cử động và tư thế của thai nhi một cách hoàn toàn tự động dựa vào trí thông minh nhân tạo của máy siêu âm. Qua đó loại bỏ được rất nhiều vật cản trước mặt em bé như nhau thai, dây rốn, chân tay để cho ra hình ảnh mặt của thai nhi rõ nét một cách nhanh chóng nhất.
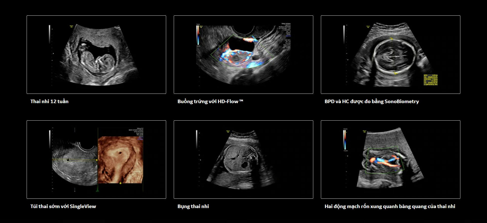
Hình Ảnh Lâm Sàng



Vui lòng liên hệ chủ website.